1:永久歯に生え変わる歳(6歳頃)なのに乳歯の間に隙間が無い

【4~5歳】乳歯なのに歯が重なって歯並びが悪い。(図1)
【6歳頃】永久歯に生え代わる歳なのに乳歯の間に隙間が無い。(図2)
乳歯も生え揃って、しっかり噛めるようになると少しずつ顎も成長して乳前歯の間に隙間が出来てきます。(成長空隙)これは、乳歯よりひと回りもふた回りも大きい永久歯が生えて来るための準備なのです。
2:永久歯が曲がったり、重なって生えてきた
-
5~6歳で乳前歯が隙間無くピッタリくっついて並んでいたり、逆に重なっている場合は、少し歯列を拡大してあげて永久歯を受け入れる準備をしてあげる事も大切です。
また、この時期は成長も盛んな年齢なので、ひと口30回は噛む。食事の時、テーブルにお水を置かない。水やお茶で流し食べをしない。噛む回数の少ないスパゲッティやカレーなどのメニューを少なくして、前歯でしっかりかぶりついて食べる。食材をなるべく大きく切って、前歯で噛む工夫をするなど、まずはよく噛むが基本です。
良く噛むと言えば、すぐ硬いものを食べさせる事と思いがちですがそうではなく、普通の食材でもお母さんの知恵を使ってなるべく包丁を使わないで子ども達の立派な包丁(前歯)を使わせてあげましょう。そんなメニューを多くして顎や歯列の成長を促してあげる。食生活を見直してあげる事も大切です。そんなメニューが載っている良く噛むレシピ本(図6、図7)がお薦めです。受付にお申し付け下さい。
3:歯並び、咬み合せがおかしい気がする
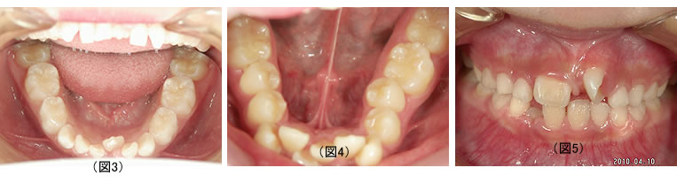
- 永久歯が生えてきたら乳歯と重なっている(図3)
- 永久歯どうしが重なって生えている(図4)
- 永久歯が曲がって生えている(図5)
-
どれも歯の生え代わりに起きる永久歯のスペース不足で生じた歯並びの悪いパターンです。 歯の生える土台の成長不足が原因です。 今まであまり使われなかった「噛む」という機能が発育不足で噛む筋力、唇やほっぺた、舌の筋力が弱く、適度な刺激が骨の成長を促せていない のです。まず食生活の中での「噛む」を正しながら拡大床による土台の育成が必要です。
4:他の歯科で年齢が低いのでもう少し様子をみましょうと言われた
一般的なワイヤー矯正は永久歯を対象としています。ですから、歯並びが悪い状態であっても永久歯が生え揃うまでは治療を始めないことが多いのです。
まだ乳歯が残っている状態や永久歯が生え始めた年齢では「永久歯が揃うまでもう少し様子を見ましょう」となります。
もちろん悪い状態を放置しておいて、成長が止まる永久歯の生え揃ってから着手するより、まだ成長の続いている早い時期に成長を促した方が装置も少なく、治療期間も短く済む可能性が高く、歯を抜かないで済む事も多くなります。
「あれっ!おかしいのでは?」と思ったら早めに受診・相談する事をお勧めします。
まだ乳歯が残っている状態や永久歯が生え始めた年齢では「永久歯が揃うまでもう少し様子を見ましょう」となります。
もちろん悪い状態を放置しておいて、成長が止まる永久歯の生え揃ってから着手するより、まだ成長の続いている早い時期に成長を促した方が装置も少なく、治療期間も短く済む可能性が高く、歯を抜かないで済む事も多くなります。
「あれっ!おかしいのでは?」と思ったら早めに受診・相談する事をお勧めします。
5:いつもポカンと口を開けていたり、指しゃぶりや爪を噛む癖がある
気が緩んだ時や、ふだんいつもポカンと口が開いている。寝てる間、口を開けていることが多い。注意すると口を閉じるが、しばらくすると開いてくる。こんなお子様は意識の問題ではなく、口輪筋(唇の周りの筋肉)の力が弱い事が原因です。
弱い原因はやっぱり噛むなどの口の周辺の筋肉発達不足です。口輪筋が弱いと歯並びが整わないばかりか、矯正して整えた歯並びも後戻りしやすく、顎の成長期には鼻の下が長くバランスの悪い間延びした顔つきになってしまいます。
口輪筋の強さは測定器で測れます。標準より弱いお子様や、いつもポカンと口の開いているお子様は、歯並びが良くてもトレーニングして口輪筋を鍛えましょう。また、指しゃぶり・爪噛みの癖・頬杖なども顎をゆがめたり、歯並びに悪い影響があります。
日常生活の中で見つけられたらその癖を止める指導も大切です。
弱い原因はやっぱり噛むなどの口の周辺の筋肉発達不足です。口輪筋が弱いと歯並びが整わないばかりか、矯正して整えた歯並びも後戻りしやすく、顎の成長期には鼻の下が長くバランスの悪い間延びした顔つきになってしまいます。
口輪筋の強さは測定器で測れます。標準より弱いお子様や、いつもポカンと口の開いているお子様は、歯並びが良くてもトレーニングして口輪筋を鍛えましょう。また、指しゃぶり・爪噛みの癖・頬杖なども顎をゆがめたり、歯並びに悪い影響があります。
日常生活の中で見つけられたらその癖を止める指導も大切です。